Intestinul subtire
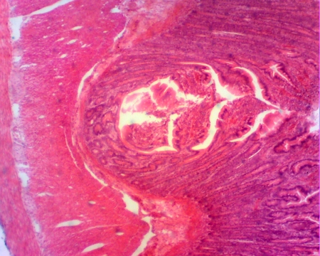
Intestinul subțire este cel mai lung segment al tubului digestiv măsurând în medie 6 m. Este cel mai important organ pentru procesul digestiv, prin funcția lui motorie, secretorie și de absorție.
Structura intestinului subțire este simplă, fiind formată dintr-un perete muscular acoperit cu o membrană și căptușit cu o mucoasă. Peretele muscular este format din două straturi de fibre netede: una longitudinală externă, cealaltă circulară internă. Între acestea se găsește o bogată rețea nervoasă. Mucoasa este reprezentată printr-un epiteliu, cu numeroase cute.
Perii care acoperă suprafața intestinului, apar ca niște ferigi înalte și sunt formate din epiteliu cu celule cilindrice, cu nuclei situați la baza celulelor iar spre vârf predomină striațiunile.
![]()
|
Fig. 1 Structura intestinului subțire, obiectiv 4X
|
![]() |
Fig. 2 Structura intestinului subțire, obiectiv 10X |




